简单几幅图,鉴别椎间盘膨出、突出、脱出!
简单几幅图,鉴别椎间盘膨出、突出、脱出!
脊椎疾病在以往多发于中老年人,然而近年来,却呈现出年轻化的倾向,尤其是椎间盘病变。

其中,椎间盘突出是临床中十分常见的脊柱退行性疾病之一,常见于腰椎和颈椎节段。
广义的椎间盘突出可以分为四种病理类型:膨出型,突出型,脱出型和游离型。今天我们就来了解一下椎间盘突出的这四种基本类型有何特点?
如何区分四种类型?
椎间盘主要由纤维环及髓核两部分组成,中心为髓核,周围部为纤维环。纤维环富于坚韧性,保护髓核并限制髓核向周围突出。
10岁以前,纤维环与髓核的含水量分别达到85%和75%,10岁以后髓核自其腹背侧缘开始纤维化,并逐渐向中心发展,30岁以后含水量进一步下降。

正常的椎间盘示意图,椎间盘由周围的纤维环和中心的髓核组成

1为纤维环,2为髓核

腰椎侧面图,腰椎间盘连接上下椎体

髓核与纤维环组成椎间盘,位于上下两个椎体之间

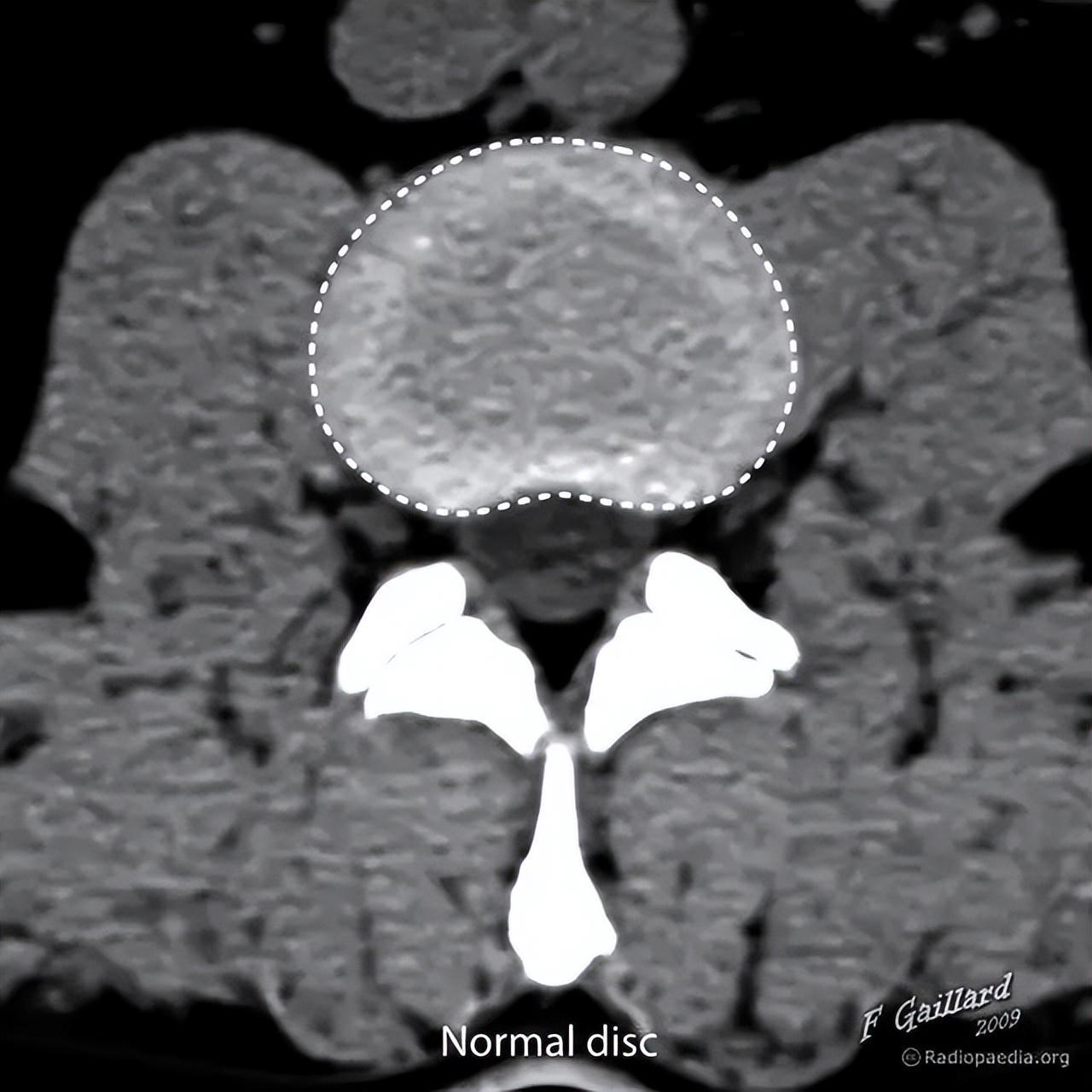
此为影像学图像,正常椎间盘(浅灰色区域)的周围不超出椎体边缘
1、椎间盘膨出
指的是指椎间盘组织超出椎体骨性边缘,表现为纤维环均匀超出椎体终板边缘,椎间盘一侧向外膨出。此时纤维环松弛但完整,髓核皱缩。

椎间盘膨出,纤维环范围超出椎体边缘

椎间盘膨出的影像学定义为:突出部分>椎间盘边缘的25%,或者突出的两边与髓核的中心的夹角>90°
椎间盘膨出一般无临床症状,有时出现反复腰痛,很少出现根性症状(下肢痛)。
2、椎间盘突出
为髓核突入纤维环内但后纵韧带未破裂,表现为椎间盘局限性向椎管内突出(移位组织的范围小于椎间盘圆周的25%),突出的髓核可以是被外部的纤维环包绕的,也可以不被纤维环包绕。

椎间盘突出,压迫脊髓神经,从而引发症状

椎间盘向后突出,但纤维环尚未完全破裂

突出部分小于椎间盘边缘的25%,并且基底部>突出部分的直径;突出椎间盘的两边与髓核的中心的夹角<90°
椎间盘突出患者可出现典型神经根性症状、体征,但也可无相关症状,表现为与影像学表现不相匹配的临床表现。由于破裂的纤维环愈合能力较差,临床复发率较高。
3、椎间盘脱出
脱出是指椎间盘的突出部分远离突出位点,不论突出部分是否游离。此时纤维环、后纵韧带完全破裂,髓核突入椎管内。

纤维环完全破裂,髓核向外脱出

椎间盘突出的影像学定义为突出椎间盘的基底部(A)<突出组织的直径(B)
腰椎间盘脱出多有明显的临床症状和体征,保守治疗效果相对较差,大多需要微创介入或手术治疗。
4. 椎间盘游离
游离是指椎间盘的突出部分与椎间盘母体离断,突出髓核与相应椎间盘不连接。可游离到椎管内病变间盘的上或下节段、椎间孔等。

椎间盘游离,是指髓核完全脱出与椎间盘不连接,游离于椎管内
椎间盘游离时,存在持续性神经根症状或椎管狭窄症状,常需手术治疗。
如果你对推拿、康复有兴趣
如果你想改善自己与家人的健康
敬请继续关注我的健康知识分享!
-
- 小龙虾“近亲”想要入侵中国?肉质更鲜嫩,吃货:看来教训不太够
-
2025-06-05 22:04:17
-
- 中国十大成功商业模式案例分享,成功的企业是如何运用商业模式?
-
2025-06-05 22:02:03
-
- 中国白酒的执行标准大全
-
2025-06-05 21:59:48
-
- 日本战国时期有位禁忌级忍者,屡遭雇主忌惮,受雇武田信玄时被杀
-
2025-06-05 21:57:34
-
- 独家对话CF马哲:复出执教不是“一时冲动”,想带队打进四强
-
2025-06-05 21:55:20
-
- 什么是绘本?
-
2025-06-05 07:42:21
-
- 小说:张龙一下子就感觉有点古怪了
-
2025-06-05 07:40:07
-
- 揭阳首座全透明玻璃桥猴年前夕建成,够胆的,约吧!
-
2025-06-05 07:37:53
-
- 日本屠村案《末日村庄》电影原型,“昭和第一惨案”
-
2025-06-05 07:35:39
-
- 双十一晚会节目单曝光,易烊千玺重磅开场,跑男团张艺兴火热助阵
-
2025-06-05 07:33:25
-
- 住持与女主播发生关系被敲诈320万,四川佛协副会长职务被免
-
2025-06-05 07:31:10
-
- 《歌手4》总决赛排名已定?结果竟然是这样
-
2025-06-05 07:28:56
-
- 你的多情出卖我的爱情赔了我的命
-
2025-06-05 07:26:42
-
- 什么是资本主义
-
2025-06-05 07:24:27
-
- 十八届最年轻的中央候补委员,现任什么职务呢?
-
2025-06-05 07:22:13
-
- 羡煞旁人!鹿晗关晓彤大胆展示恋情,网友惊呼太甜蜜!
-
2025-06-05 07:19:59
-
- 笑死人的幽默风趣句子,搞笑说说短句爆笑
-
2025-06-05 07:17:45
-
- 火箭交易威少的内幕曝光!被逼无奈只能出此下策,真留不住了
-
2025-06-05 07:15:30
-
- 林则徐的两句诗,是古往今来赞叹苍山洱海诗句中流传最广的
-
2025-06-05 07:13:16
-
- 盘点何晴演的7个角色,四大名著都聚齐了,网友:个个都很惊艳
-
2025-06-05 07:11:02



一条烟不开封可以放多久?
彭冠英张含韵被曝结婚:低调的幸福爱情婚姻,或许与她的经历有关
王治郅的妻子周蕾,身材高挑 才貌双全 照片欣赏
范冰冰不雅图片 范爷大尺度裸身戏遭曝光
扎西顿珠视为信仰的宗庸卓玛与平凡丈夫的爱情,七年卧床不离不弃
中国著名相声演员姜昆简历